Prices plus VAT plus shipping costs
Ready to ship today,
Delivery time appr. 5-8 days
- Order number: 7TM0091MN
- Content: 100 µl
- Host: Rabbit
The GPR20 receptor antibody is directed against the distal end of the carboxyl-terminal tail of mouse GPR20. It can be used to detect total GPR20 receptors in Western blots independent of phosphorylation. The GPR20 antibody can also be used to isolate and enrich GPR20 receptors from tissue lysates. It also detects GPR20 in cultured cells and tissue sections by immunohistochemistry. The GPR20 antibody has been validated using knockout mice (KO-Validated).
| Alternative Names | GPR20, G Protein-coupled Receptor 20 |
| IUPHAR Target ID | 91 |
| UniProt ID | Q8BYC4 |
| Western Blot (WB) | 1:1000 |
| Immunocytochemistry (ICC) | 1:200 |
| Immunohistochemistry (IHC) | 1:100 |
| Species Reactivity | Mouse |
| Host / Isotype | Rabbit / IgG |
| Class | Polyclonal |
| Immunogen | A synthetic peptide presents carboxyl-terminal tail of mouse GPR20 |
| Form | Liquid |
| Purification | Antigen affinity chromatography |
| Storage buffer | Dulbecco's PBS, pH 7.4, with 150 mM NaCl, 0.02% sodium azide |
| Storage conditions | short-term 4°C, long-term -20°C |
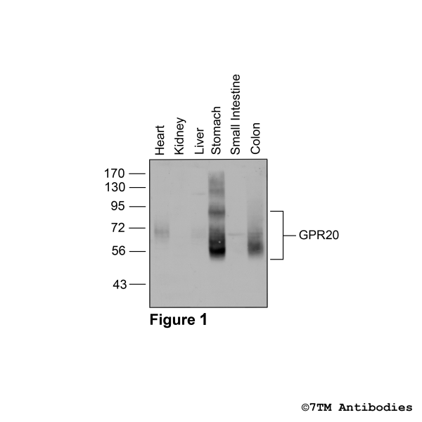
Figure 1. Western blot analysis of G Protein-coupled Receptor 20 in mouse tissues in vivo. Mouse tissues were dissected, homogenated and immunoblotted using anti-GPR20 (G protein-coupled receptor 20) antibody (7TM0091MN) at a dilution of 1:1000. Note, absence of GPR20 receptors in kidney, small intestine and liver but strong presence colon and stomach and slightly decteable in heart.
Figure 2. Immunohistochemical identification of G Protein-coupled Receptor 20 in mouse spleen. Sections were dewaxed, microwaved in citric acid, and incubated with anti-GPR20 (G Protein-coupled Receptor 20) antibody (7TM0091MN) at a dilution of 1:100. Sections were then sequentially treated with biotinylated anti-rabbit IgG and avidin-biotin solution.Color was developed by incubation in 3-amino-9-ethylcarbazole (AEC), and sections were counterstained with hematoxylin. Note, GPR20 receptors were detected at the plasma membrane of cells.
Figure 3. Immunocytochemical identification of G Protein-coupled Receptor 20 in HEK293 cells. Native HEK293 cells (MOCK) or HEK293 cells stably expressing the G Protein-coupled Receptor 20 (GPR20) were immunocytochemically stained with anti-GPR20 (G protein-coupled receptor 20) antibody (7TM0091MN) at a dilution of 1:200. Note, GPR20 receptors were confined to the plasma membrane in transfected cells.
Figure 4. Western blot analysis of the G Protein-coupled Receptor 20 in mouse tissues in vivo. Tissues from GPR20-deficient mice (GPR20-KO) and their wild-type littermates (GPR20-WT)were dissected, homogenated and immunoblotted using anti-GPR20 (G protein-coupled receptor 20) antibody (7TM0091MN) at a dilution of 1:1000. Note, absence of GPR20 receptors in colon in GPR20-KO but not in GPR20-WT mice.
Be the first to identify the cellular targeting of GPR20 and let us know.



